Nos Spécialités

Parodontie

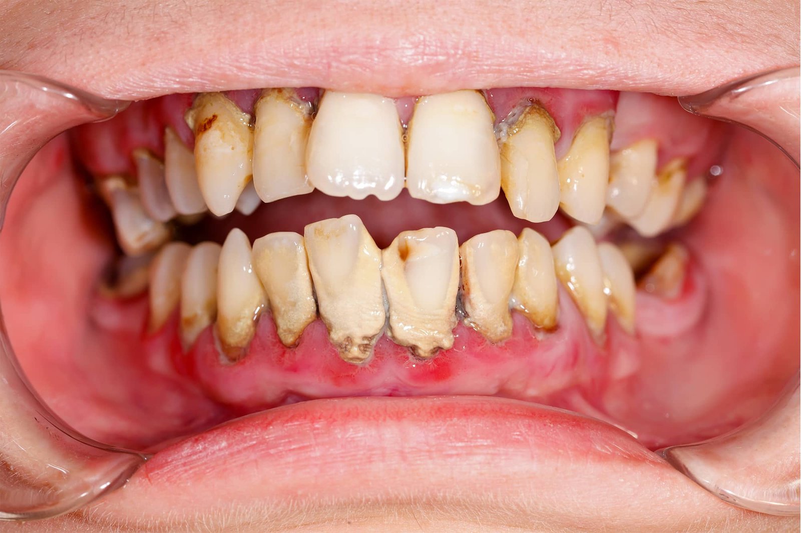
Parodontie

Spécialité consacrée à la prévention et au traitement des maladies des gencives et de l'os qui soutient les dents. Détartrage, traitement des gingivites et parodontites, chirurgie parodontale.

Qu'est-ce que la parodontie ?
La parodontie traite les tissus de soutien de la dent : gencive, os alvéolaire, cément et ligament parodontal. Des gencives saines sont essentielles pour conserver vos dents toute votre vie.
Signes d'alerte
Consultez rapidement si vous présentez ces symptômes :
  • Saignement des gencives au brossage
  • Gencives rouges, gonflées ou sensibles
  • Mauvaise haleine persistante
  • Déchaussement des dents
  • Mobilité dentaire

Avantages de ce service

  • Prévention de la perte dentaire
  • Réduction de l'inflammation
  • Traitement des infections
  • Amélioration de la santé générale
  • Techniques modernes et peu invasives
  • Suivi personnalisé

Protéger mes gencives

Prendre rendez-vous